Case of lower crowding

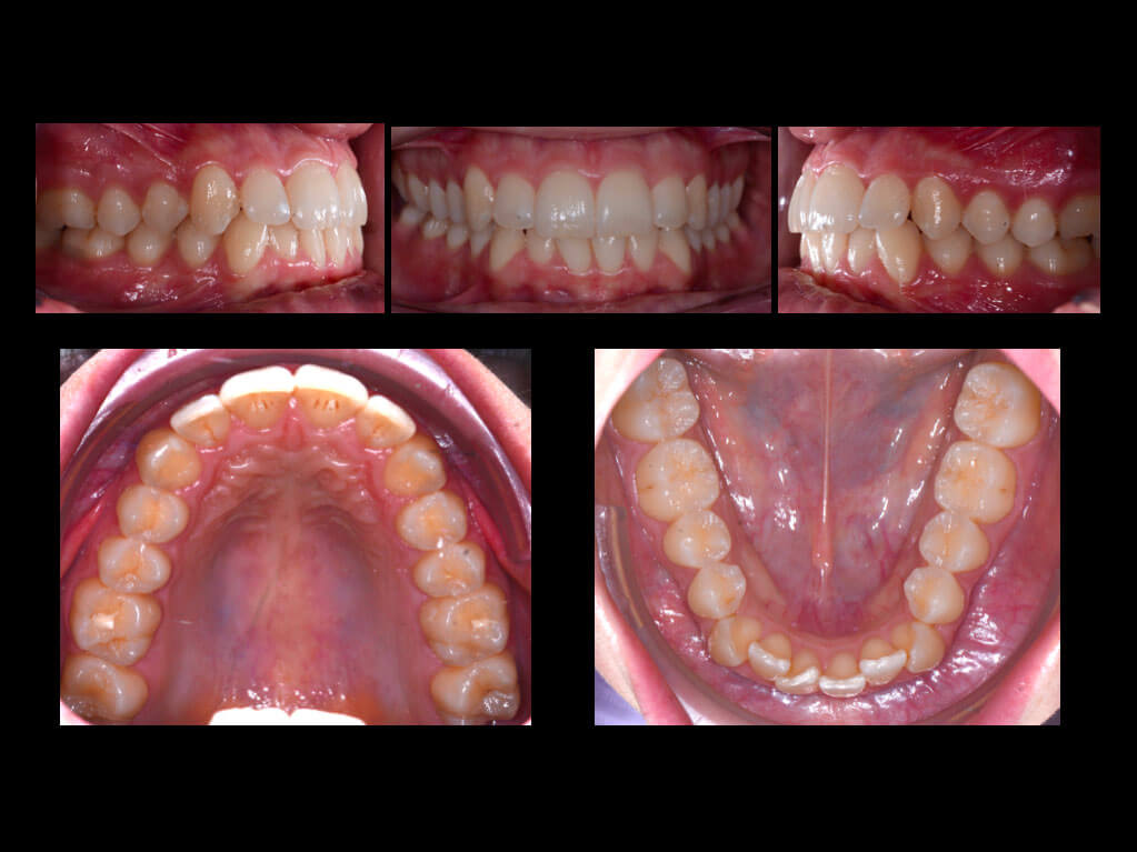
The female patient came to our attention for the resolution of crowding in the lower arch. She requested treatment with an “aesthetic and comfortable” appliance. Intraoral analysis showed a Class I molar and canine relationship on the right and a mild Class III molar and canine relationship on the left. The dental midlines did not coincide, with the upper midline deviated towards the left side of the patient in relation to the facial midline. Overjet and overbite were within normal limits. At the level of the lower arch there was a medium amount of crowding concentrated mainly at the level of the anterior sextant (1).
The radiographic analysis showed the presence of all the dental elements, with a good state of dental health (2). The proposed orthodontic treatment was to use the F22® aligner system with a series of 10 upper and 16 lower steps, particularly suitable in skeletal Class III cases with a hyperdivergent facial pattern, to avoid loss of anterior anchorage.
The treatment plan involved the use of only two grip points at the level of elements 3.3 (vestibular) and 4.3 (lingual) and the execution of stripping of 0.2 mm from distal 3.4 to distal 4.4 to achieve resolution of crowding without excessive proclination of the mandibular anterior elements.

P

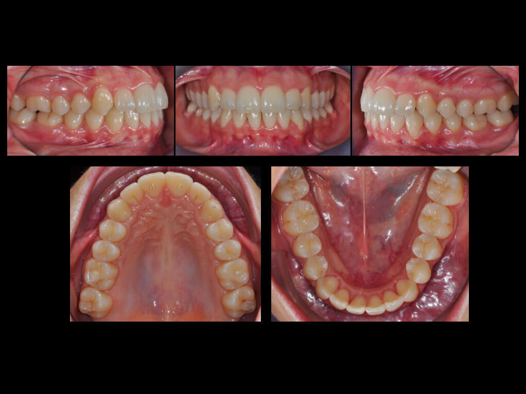
Treatment was completed in approximately eight months. The crowding in the lower arch was resolved, while a good Class I molar and canine relationship was consolidated. The incisor overbite and overjet relationships were maintained, and the upper and lower interdental midlines were centred.

Dopo

Correction of upper and lower crowding with the F22 Aligner

Patient with tooth crowding in the anterior sector in both arches. Treatment performed over 5 months in 10 steps, with lingually positioned grip points.
Go to the case

Case of skeletal discrepancy

Patient with severe transverse skeletal discrepancy. The first expansion phase was performed with a MAPA System. The next phase of dental alignment and coordination of the arches was performed with F22 treatment.
Go to the case
Stay aligned