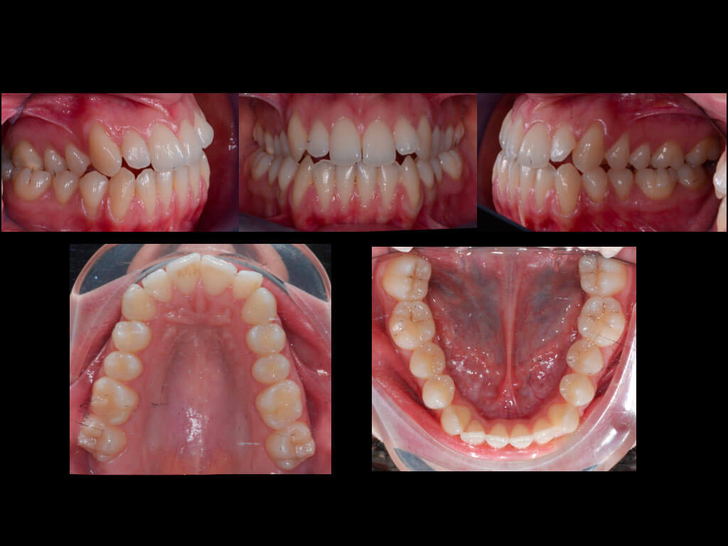
Caso de discrepancia esquelética

La paciente de 23 años presentaba una maloclusión de Clase III, una contracción esquelética del maxilar superior y una mordida cruzada posterior bilateral. Se observan diferentes recesiones a nivel de los sectores laterales y de los incisivos inferiores, que pueden remitir a un biotipo fino y a una encía especialmente delicada. 

Como primera operación, se planificó la corrección ortopédica de la mordida cruzada posterior, con una expansión pura del maxilar superior para no dañar más el periodonto. Para estabilizar el resultado, el expansor permaneció in situ durante seis meses. Mientras tanto, se tomaron escaneados intraorales para programar el tratamiento con alineadores. De acuerdo con la programación digital, se imprimieron 20 alineadores F22 por arcada y se le entregaron al paciente tras aplicar los puntos de agarre necesarios y realizar la reducción interproximal necesaria.

Prima

Cada alineador se utilizó durante siete días y, tras esta primera serie, se programó el acabado de otros cinco alineadores superiores e inferiores. Por lo tanto, el tratamiento global se completó en diez meses, de los que sólo seis se realizaron con alineadores F22. Clínicamente, el paciente muestra una clase 1 de relación molar y canina y diámetros transversales posteriores correctos. Las recesiones no empeoraron durante la terapia y ahora se pueden tratar con un enfoque quirúrgico de cobertura radicular.

Dopo
Escuela de Especialización en Ortodoncia, Universidad de Ferrara

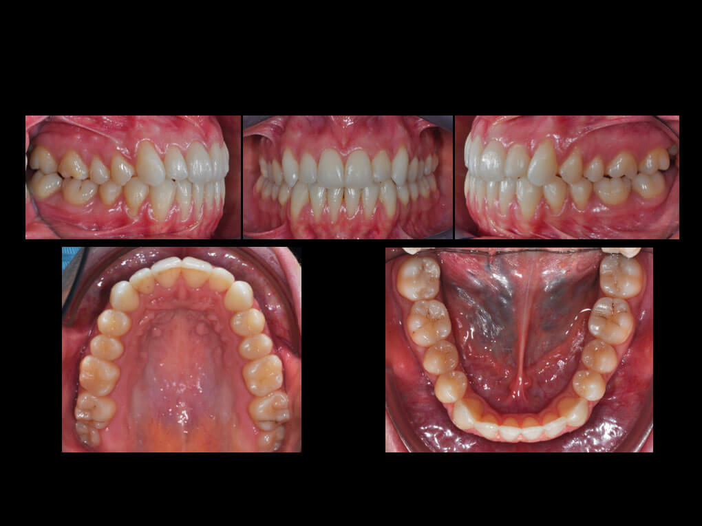
Corrección del apiñamiento superior e inferior con F22 Aligner

Paciente con apiñamiento dental en el sector frontal en ambas arcadas. Tratamiento realizado en 5 meses con 10 alineadores, con puntos de agarre colocados lingualmente.
ir al caso
Stay aligned