Preparazione pre-protesica con F22 Aligner

Scuola di Specializzazione in Ortognatodonzia dell'Università di Ferrara

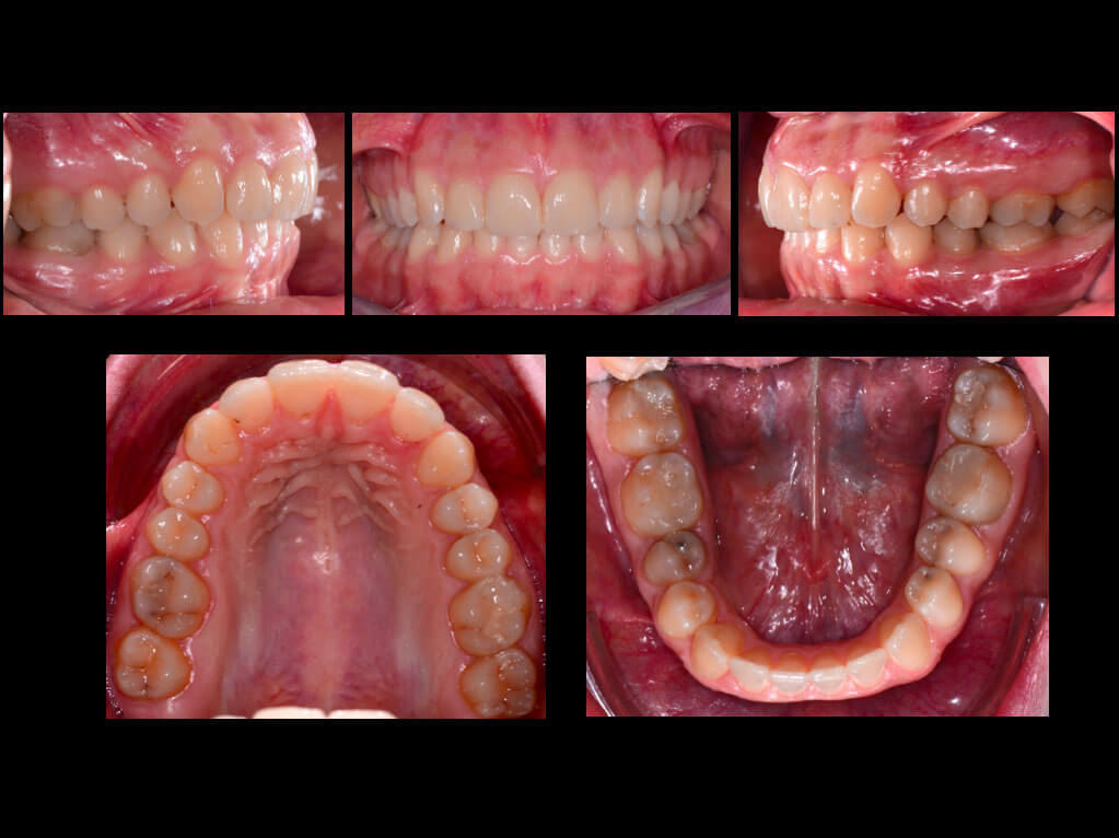
Una giovane paziente giunge alla nostra attenzione per un diastema tra gli incisivi centrali superiori. Il volto era simmetrico e le labbra competenti, mentre il profilo evidenziava una certa retrusione mandibolare. A livello occlusale la paziente mostrava una debole prima classe molare e canina con presenza di numerosi diastemi soprattutto all’arcata superiore; non riferiva peraltro problemi articolari, ma aveva una gengivite marginale per una igiene orale non ottimale.

L’analisi clinica chiarisce che il problema è rappresentato dalla dimensione degli incisivi superiori. Questo significa che la chiusura dei diastemi per arretramento del gruppo frontale e stripping inferiore non sarebbe stata un’ottima soluzione perché dal punto di vista estetico avrebbe reso ancora più evidente la dimensione ridotta degli incisivi; inoltre questa soluzione avrebbe significato anche un peggioramento dell’inclinazione dei denti rispetto alle basi ossee e ai tessuti molli. In questo caso l’unica possibilità è combinare il trattamento ortodontico con l’aggiunta di sostanza dentale all’arcata superiore a livello degli incisivi al fine di aumentarne l’altezza. Lo scopo della terapia ortodontica sarebbe stato quello di distribuire gli spazi in maniera ideale facilitando l’attività del protesista ed evitando un’eccessiva lingualizzazione.

Prima

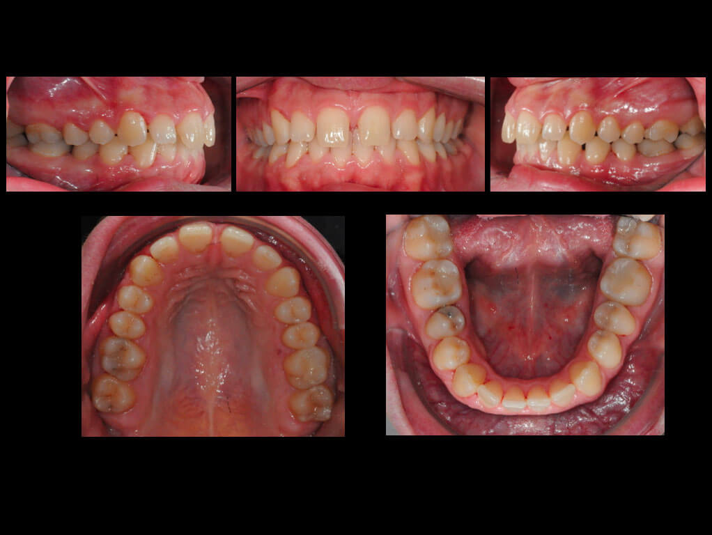
È stato eseguito un set-up che ha permesso di pianificare i movimenti sulla base delle necessità protesiche e che ha anche mostrato la necessità di eseguire una certa quantità di stripping all’arcata inferiore. Sono stati pianificati 14 allineatori superiori e 14 inferiori ed è stato necessario mettere i grip point sui primi premolari e sui primi molari di entrambe le arcate per migliorare l’ancoraggio dell’allineatore.

La paziente è stata molto collaborante portando le mascherine secondo le indicazioni, e una volta ottenuto quanto era stato pianificato, il protesista (Prof. S. Catapano) ha eseguito delle preparazioni minimamente invasive per permettere il posizionamento di 4 faccette in composito.

Dopo

Correzione di affollamento superiore e inferiore con F22 Aligner

Paziente con affollamento dentale nel settore frontale in entrambe le arcate. Trattamento eseguito in 5 mesi con 10 steps, con grip point posizionati lingualmente.
Vai al caso
Stay aligned